Comment exploiter la puissance de Graviola Prozono pour les patients BRCA
i vous êtes un patient BRCA à la recherche d’un moyen naturel d’améliorer votre santé, …
Comment exploiter la puissance de Graviola Prozono pour les patients BRCA Lire plus »
i vous êtes un patient BRCA à la recherche d’un moyen naturel d’améliorer votre santé, …
Comment exploiter la puissance de Graviola Prozono pour les patients BRCA Lire plus »
Le cancer est l’une des principales causes de décès dans le monde, le cancer du …
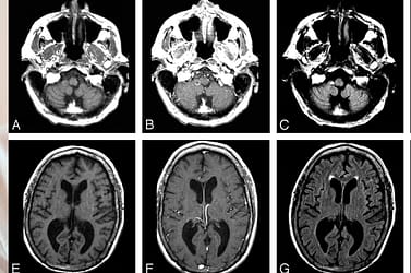
Lorsque vous commencez avec un gliome de bas grade qui a récidivé en GBM Lire plus »
Le carcinome papillaire de la thyroïde est un type de cancer qui peut récidiver. Cependant, …
Carcinome papillaire de la thyroïde : comment prévenir les récidives Lire plus »
Si vous ou un être cher avez reçu un diagnostic de mélanome cérébral de stade …
Traitement naturel du mélanome cérébral de stade 4 avec métastases Lire plus »
Les personnes qui souffrent des effets débilitants de la fibromyalgie peuvent avoir une nouvelle vie …
La Graviola est très populaire en raison de ses effets multiples et merveilleux sur la …
Les habitants de la jungle amazonienne et de ses environs considèrent l’extrait de Graviola comme …
Extrait de Graviola : ses bienfaits pour la santé Lire plus »
Le Graviola est considéré en médecine populaire comme un remède contre l’asthme et la bronchite. …
La teneur en acétogénines de Graviola est 10 000 fois plus efficace contre le cancer …
Ce fruit, le graviola, est originaire des zones tropicales et subtropicales d’Amérique centrale et du …
11 bienfaits importants du Graviola pour votre santé et votre bien-être. Lire plus »
![]()